 

 
|
| UPDATE Januar 2017 |
| Chaton wurd glücklich vermittelt und es geht im blendend. |
|
| August 2016 |
| Name: |
Chaton |
| Farbe: |
grau getigert |
| Geboren: |
5/2016 |
| Geschlecht: |
männlich |
| Referenznr.: |
|
Besonder-
heiten: |
|
Verträglich-
keit: |
Katzen: ja
Hunde: ja |
Wohnungs-
haltung: |
|
| befindet sich: |
Pflegestelle Frankreich |
|
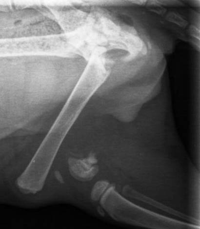
Das kleine Fellbündle wurde gefunden und ins Tierheim gebracht (und leider nicht wieder abgeholt), dort stellte man fest, dass er schreckliche Schmerzen im hinteren Bereich hatte. Um dem hübschen Bub Erleichterung verschaffen zu können, wurde er gleich dem Tierarzt vorgestellt. Leider gab es dort keine guten Neuigkeiten, er hatte sich einen schweren Bruch des Oberschenkels zugezogen, welcher sofort operiert werden musste.
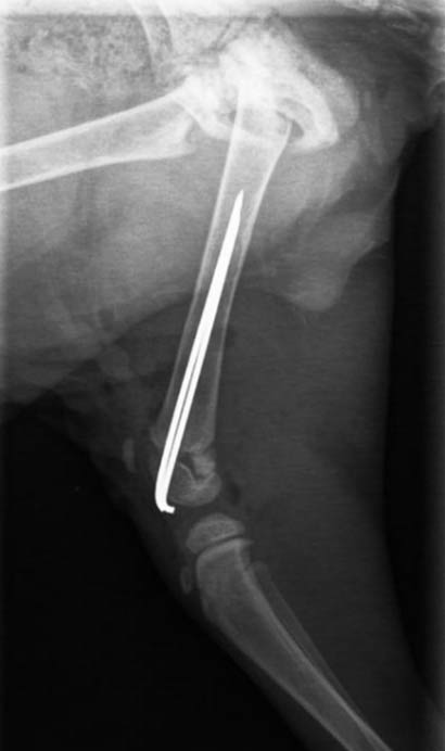
Das kleine Zauselchen hatte aber Glück und durfte sofort auf eine Pflegestelle ziehen in dem es jetzt liebevoll umsorgt wird. Dort hat er auch sofort mit den Hunden und Katzen der Pflegestelle Freundschaft geschlossen und kann sich dort erst mal von den großen Strapazen in seinem noch so jungen Leben erholen. |


 
|
|
|
| Beachten Sie bitte, dass diese Seiten nicht
dazu gedacht sind, Tiere über das Internet
zu bestellen! Die Vermittlung der Tiere erfolgt
ausschließlich über die genannte Kontaktadresse
oder direkt über die Tierheime. Außerdem
beachten Sie bitte, dass wir bei der Beschreibung
der Tiere auf die Einschätzung der Vorbesitzer
oder Betreuer angewiesen sind und wir keine Gewähr
übernehmen können! |
|
|