



|
| UPDATE Oktober 2018 |
Die süße Izzy wurde glücklich vermittelt....
(st) |
|
| September 2018 |
Eine leere Transportkiste vor dem SPA! Das verheißt nichts gutes. Was war darin und WO ist es jetzt?????
Es war Izzy, ein Katzenkind, wurde sie, stark humpelnd, an der Straße gefunden, eingepackt und ans SPA gebracht, leider nur AN das SPA
dort wurde sie, trotz geöffnetem SPA, mit offener Transportbox abgestellt. Das schüchterne Mädchen nutzte natürlich die Gunst
der Stunde und suchte sich ein sicheres Plätzchen in den Reben.
Nach dem man dann herausgefunden hatte was es war, begab man sich auf die Suche und konnte das Mäuschen nach drei Tagen finden.
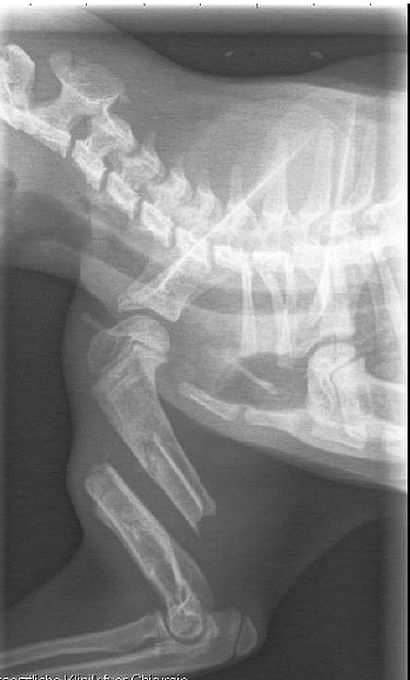
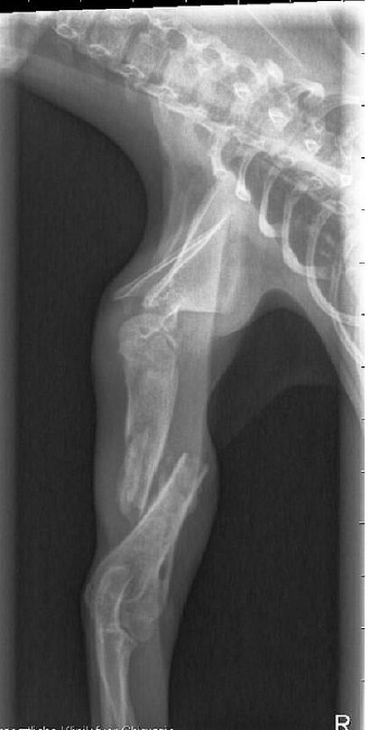
Das Beinchen sah nicht gut aus, daher wurde sie gleich in die Tierklinik gebracht. Dort stellte sich heraus, dass sie sich den Oberarm
gebrochen und sich dann auch noch der Nerv auf den Knochen aufgespießt hatte. Da der Bruch schon 8-10 Tage alt war, war dieser Nerv auch schon mit dem Knochen verwachsen.
Das Mädchen wurde sofort operiert und es ist auch alles soweit gut verlaufen und nun bekommt Izzy täglich Krankengymnastik, was sie vorbildlich mit macht und wir hoffen,
dass der Nerv sich wieder regeneriert und keine Schäden zurück bleiben.
(st)
|



|
|
|
| Beachten Sie bitte, dass diese Seiten nicht
dazu gedacht sind, Tiere über das Internet
zu bestellen! Die Vermittlung der Tiere erfolgt
ausschließlich über die genannte Kontaktadresse
oder direkt über die Tierheime. Außerdem
beachten Sie bitte, dass wir bei der Beschreibung
der Tiere auf die Einschätzung der Vorbesitzer
oder Betreuer angewiesen sind und wir keine Gewähr
übernehmen können! |
|
|