







nach der OP


 |
| UPDATE April, Juli 2015 |
| >> neue Besitzer erzählen |
|
| April 2015 |
| Name: |
Looping |
| Farbe: |
Siam-Mix |
| Geboren: |
ca. 8/2014 |
| Geschlecht: |
männlich |
| Zimmer: |
|
Besonder-
heiten: |
sehr zierlich, lieb |
Verträglich-
keit: |
Katzen: ja
Hunde: ja |
Wohnungs-
haltung: |
Freigang |
| befindet sich: |
Pflegestelle |
|
| beendeter Spendenaufruf
für Looping |
| Die Tierarztkosten liegen zur Zeit bei 2.118,07 EUR |
| Looping hat bisher 1.190 EUR erhalten |
| Danke an Frau Wiggenhauser (2x), Frau Vogler, Frau Reichenbach, Frau Porsch, Frau Herrmann, Frau Andre (2x), Frau Lautenbacher, Frau Meyer, Herr Roos, Frau Lautenbacher, Herr Deiß (Velo Kirchzarten), Frau Beuter, Fam. Böttcher, Frau Gutjahr, Frau Trick |
|
Looping und Sugar haben das große Los gezogen. Sie durften zu einer super netten Familie auf dem Land ziehen.
|
|
| März 2015 |
| Neue Bilder von Looping mit seiner "Traumfrau" Sugar auf der Suche nach einem gemeinsamen Zuhause. |


|
| Februar 2015 |
Von Looping können wir nur Gutes berichten.
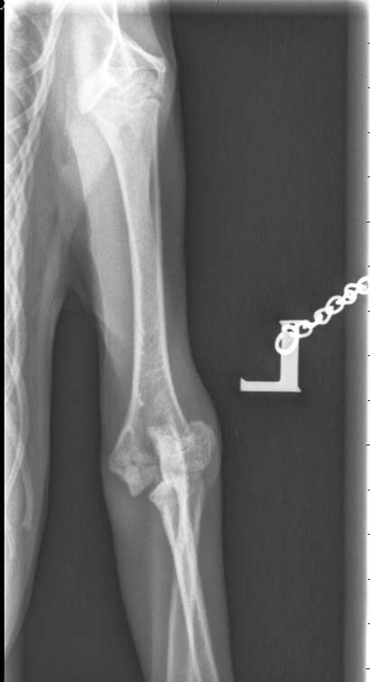
Seine Brüche heilen weiterhin sehr gut und der behandelnder Arzt hat ihm erlaubt, dass er in 10 Tagen wieder uneingeschränkt Klettern und Springen darf.
Zeit für Looping seiner Pflegestelle "Adieu" zu sagen und in eine eigene Familie zu ziehen.
Looping kann auf seiner Pflegestelle besucht werden und freut sich über ein Kennenlernen. |

|
| Januar 2015 |
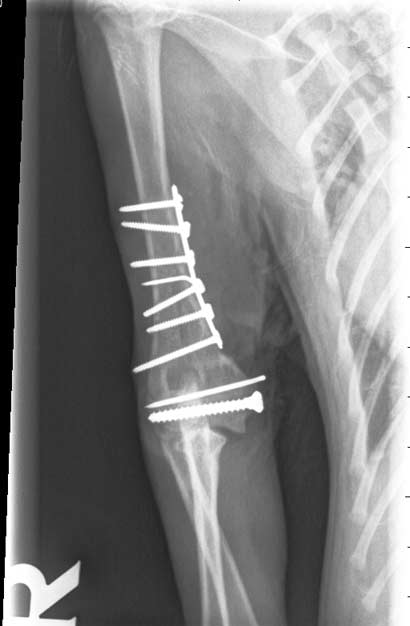
Looping war bei der Röntgenkontrolle
Der kleine Looping war in der Tierklinik zur Röntgenkontrolle und dabei wurden auch gleich die Fäden gezogen.
Seine Frakturen heilen gut zusammen - was bei jungen Tieren ja glücklicherweise rascher geht - und Looping darf bereits in zwei Wochen schon wieder mit Artgenossen springen und rennen.
Da er noch total verspielt ist und es gar nicht erwarten kann, mit anderen Katzen zu toben, freuen wir uns natürlich für ihn, wenn diese "Schonfrist" bald vorüber ist.
Looping ist ein ganz unkompliziertes, junges Katerchen, dass in ein paar Wochen in ein endgültiges Zuhause ziehen kann.
Er freut sich sehr über ein Date zum Kennenlernen:-) und Ihren Besuch.
Die gute Versorgung seiner Brüche und die Nachbehandlung müssen finanziert werden. Wir bitten nochmal um Unterstützung und weitere Patenschaften für den kleinen schwarzen Panther.
Herzlichen Dank ! |
|
| Dezember 2014 |
Glück im Unglück hatte Looping:
...... verletzt umherirrend wurde er gefunden und von Menschen, die sofort gehandelt haben, im Tierheim abgegeben. Das war sein Glück, wir möchten uns erst gar nicht vorstellen, was passiert wäre, hätte man ihn seinem Schicksal überlassen. Noch am gleichen Tag wurden alle Hebel in Bewegung gesetzt um dem kleinen, schwarzen Etwas zu helfen und ihn zu einem Tierarzt zu bringen.
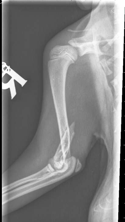
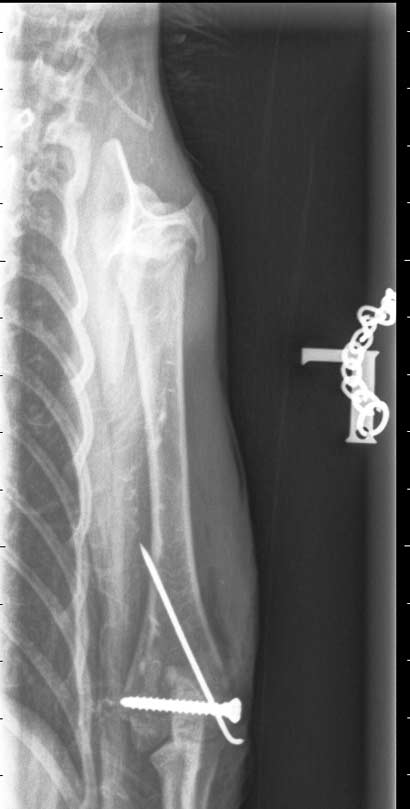
Dank eines aussergewöhnlichen Einsatzes konnte er noch am Heilig Abend geröntgt werden, doch leider war die Diagnose erschreckend: ganz fiese Brüche in beiden !! Vorderbeinen.
Der Arme musste schreckliche Schmerzen bei jeder Bewegung haben. Trotzdem ließ er alle Untersuchungen brav über sich ergehen und war geduldig und freundlich.
Nun war schnelles Handeln gefragt, um dem lieben Kater zu helfen.
Noch an den Weihnachtstagen liessen wir Looping in eine chirurgische Klinik bringen, damit er schnellstmöglich operiert und seine Frakturen entsprechend versorgt werden konnten. Die Brüche sind wohl durch einen Sturz/Sprung von extremer Höhe entstanden, vielleicht durch den Sturz von einem Balkon?? (Leider haben immer noch viele Leute ungesicherte Balkone und unterschätzen die Neugierde und den natürlichen Jagdinstinkt von Katzen wenn z.B. ein Vogel vorbei fliegt)
Nun darf er sich auf einer erfahrenen und liebevollen Pflegestelle erholen.
Wir mussten hier an den Weihnachtstagen schnell handeln und Looping helfen, doch ist es für uns nicht möglich, alle Kosten unserer Notfälle alleine zu bewältigen.
Es wäre supertoll, wenn Sie Looping unterstützen würden, damit er wieder mit vier gesunden Beinen durchs Leben gehen kann, auch z. bsp. durch die Übernahme einer Patenschaft. |
 

|
|
|
| Beachten Sie bitte, dass diese Seiten nicht
dazu gedacht sind, Tiere über das Internet
zu bestellen! Die Vermittlung der Tiere erfolgt
ausschließlich über die genannte Kontaktadresse
oder direkt über die Tierheime. Außerdem
beachten Sie bitte, dass wir bei der Beschreibung
der Tiere auf die Einschätzung der Vorbesitzer
oder Betreuer angewiesen sind und wir keine Gewähr
übernehmen können! |
|
|