Grenzenlose Hilfe für Tiere - sans rontières e.V.
sans frontières e.v. - Wir sind ein eingetragener Deutscher Verein mit ausschließlich ehrenamtlichen Helfern und unterstützen mit unserer Arbeit in erster Linie zwei finanziell notleidende Tierheime im französischen Elsass. Bis auf solche, die es geschafft haben, eine Pflegestelle zu bekommen, befinden sich alle Tiere noch in Frankreichsans frontières e.v. - Wir sind ein eingetragener Deutscher Verein mit ausschließlich ehrenamtlichen Helfern und unterstützen mit unserer Arbeit in erster Linie zwei finanziell notleidende Tierheime im französischen Elsass. Bis auf solche, die es geschafft haben, eine Pflegestelle zu bekommen, befinden sich alle Tiere noch in Frankreichsans frontières e.v. - Wir sind ein eingetragener Deutscher Verein mit ausschließlich ehrenamtlichen Helfern und unterstützen mit unserer Arbeit in erster Linie zwei finanziell notleidende Tierheime im französischen Elsass. Bis auf solche, die es geschafft haben, eine Pflegestelle zu bekommen, befinden sich alle Tiere noch in Frankreich
 


Sie befinden sich hier:

Home>> Erfolge - gut vermittelt

Momo 2
UPDATE August 2013
>> neue Besitzer erzählen

Juli 2013
Momo ist glücklich vermittelt.

April 2013
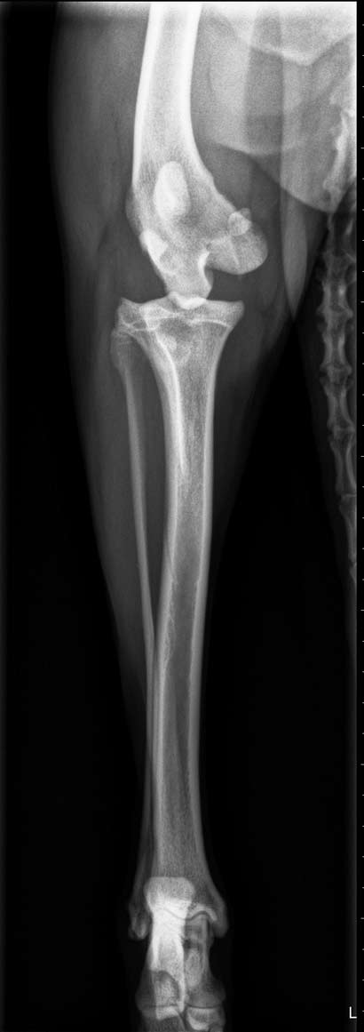
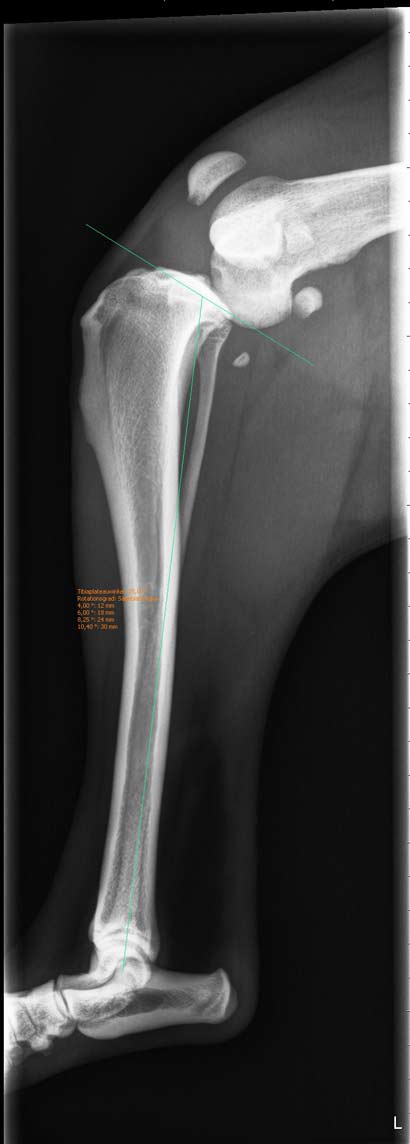
Start frei in ein uneingeschränktes und schmerzfreies Leben für Momo.. Bei Momo´s Enduntersuchung wurden all unsere Wünsche wahr! Die Hüfte, die TPLO, das Knie.. alles ist perfekt verheilt!

März 2013
beendeter Spendenaufruf für Momo
Die Kosten für Untersuchungen, Operation und Nachsorge liegen bei 2.200,00 bis 3.000,00 EUR
Momo hat 3.505,70 EUR erhalten
Danke an Apreciosa Schmuck, Frau Schreijaeg, Frau Beuter, Frau Schwartzkopf, Frau Weigand, Frau Lautenbacher, Frau Reinl, Frau Rawer, Frau Wiggenhauser, Frau Köster mit Sirius und Chocky, Fam. Schöffel mit Banjo, Frau Kocherscheidt, Fam. Messerli, Frau Körner-Ruf, Frau Hammitzsch, Herr Schreijaeg, Frau Schrader, Frau Henseler, Frau Männer, Frau Essers, Autohaus Eble, Frau Braun, Herr Walzer, Frau Gruppe, Frau Mischau, Frau Wegner, Frau Liebich, Frau Eikmeier
Spendenkonto
Unsere Maus trainiert ;-) ..

Februar 2013
Momo wurde in einer Spezialklinik operiert und durfte auf eine Pflegestelle umziehen..

Liebe Momo-Fans, wir haben lange Nichts von uns hören lassen, waren aber natürlich nicht untätig!

Aber mal von vorne: Dass die OP ziemlich kompliziert sein würde war klar, aber leider gab es noch zusätzliche Komplikationen.
Zuerst wurde planmäßig ein Kunstband in das Knie eingesetzt, sowie eine TPLO vorgenommen. Bei der Hüft-OP konnte dann der Fermurkopf leider nicht in die Pfanne zurückgeführt werden, da er aufgrund der Dauer der Verletzung zu steil verwachsen war (Fehlstellung). Es wurde dann eine Fermurkopfhalsresektion durchgeführt. Danach zeigte Momo noch eine unphysiologische Innenrotation des Kniegelenks. Daher musste dann zur Stabilisierung des Außenbandes ein Faden eingesetzt werden.

Die kleine Maus ist sehr sehr tapfer. Sie geht zweimal wöchentlich zur Physio und macht täglich ihre Übungen, damit sie überhaupt wieder ein Gefühl für ihr viertes Bein bekommt. So bitter es ist, aber Momo musste viel zu lange Zeit auf drei Beinen zurecht kommen und hat ihr zerstörtes Viertes nur als Ballast wahrgenommen. Aus diesem Grund muss sie den Umgang mit ihrem "reparierten" Bein wieder neu lernen. Je weiter die Heilung fortschreitet und der OP-Schmerz nachlässt, umso selbstverständlicher benutzt Momo ihr Bein.
Alle sind mit dem Heilungsverlauf sehr zufrieden und zuversichtlich, dass sie bald wieder auf vier Beinen durchs Leben turnt.
Momo benötigt nun noch mehrere Wochen strikte Erholung, darf ihr Bein nur wenige Minuten belasten, nicht spielen, nicht hüpfen, nicht rennen.
Absoluter Leinenzwang ist angesagt. Sie darf vor allem nicht falsch auf ihr Bein treten oder es anschlagen. Sie ist sehr geduldig und unheimlich lieb, wobei der jungen Hündin diese Ruhe oft schwer fällt..
An dieser Stelle bedanken wir uns ganz ganz herzlich bei Allen, die Momo auf ihrem weiten Weg zurück auf vier Pfoten unterstützen.. Dankeschön!!

++klick für gross bei youtube++






Januar 2013
Momo war heute in einer Spezialklinik...

zuerst die Gute Nachricht: Wenn alles gut verläuft, kann Momo wieder ein uneingeschränktes Leben ohne Schmerzen führen :-))

Leider benötigt sie hierzu eine kostspielige, aufwendige, mehrstündige Operation und vor allem mehrere Wochen absolute Ruhigstellung, was für unsere lebensfrohe kleine Maus sicherlich ein schwieriger Weg wird :-(

In der heutigen Untersuchung wurde festgestellt, dass nicht nur Momo´s Bänder im Knie gerissen sind, sondern dass sie auch noch eine Beckenluxation hat (der Knochen ist aus der Pfanne gesprungen).
Momo hat trotz massiver Manipulation am Bein nur leise gejammert, sie ist unglaublich tapfer!

Wir wünschen uns von ganzem Herzen, dass die Süße wieder ein uneingeschränktes und schmerzfreies Leben führen kann..
Um Ihr das zu ermöglichen würden wir uns freuen, wenn Sie uns bei der Finanzierung der OP-Kosten (über 2.000 Euro) etwas behilflich sein könnten...

Januar 2013
Unendliches Leid der Labradorhündin Momo, sie braucht ganz dringend professionelle Hilfe!

Momo, eine bezaubernde Labbimix-Hündin wurde gefunden und im Tierheim abgegeben. Wir wissen nicht, was wirklich passiert ist! Fakt ist, egal ob es ein Autounfall war, oder die Hündin einen schweren Treppensturz hinter sich hat, dass sie seit Wochen Schmerzen leidet und sie keinem Tierarzt vorgestellt wurde.
Es ist ein extrem trauriger Anblick die junge Hündin so qualvoll gehen zu sehen, wo sie doch eigentlich über Wiesen toben könnte! Wir mussten sofort helfen und haben sie einem Tierarzt vorgestellt. Sie hat sämtliche Bänder im Kniegelenk gerissen. Da ihre Wachstumsfuge ebenfalls in Mittleidenschaft gezogen wurde und der Knochen bereits verformt ist, geht der TA davon aus, dass Momo seit vielen Wochen oder gar Monaten mit ihrer Verletzung leben musste.
Es ist noch völlig unklar, ob ihr Bein durch einen OP wieder gänzlich funktionsfähig werden kann.
Hier kann definitiv nur noch eine Spezialklinik helfen!

Momo hat keine wirkliche Kontrolle über das defekte Bein, es schlägt beim Laufen permanent gegen das Andere, so dass bereits tiefe Wunden entstanden sind. Sie muss sich sogar darüber pinkeln.
Es ist unfassbar, wie Menschen sich dieses traurige Schicksal so lange anschauen konnten und vielleicht hofften, dass es schon wieder heilen würde..

Wir können dies definitiv nicht und werden mit ihrer Hilfe alles finanziell Mögliche für die Süße tun, die trotz ihres Handicaps ganz wundervoll ist!


ThE

Beachten Sie bitte, dass diese Seiten nicht dazu gedacht sind, Tiere über das Internet zu bestellen! Die Vermittlung der Tiere erfolgt ausschließlich über die genannte Kontaktadresse oder direkt über die Tierheime. Außerdem beachten Sie bitte, dass wir bei der Beschreibung der Tiere auf die Einschätzung der Vorbesitzer oder Betreuer angewiesen sind und wir keine Gewähr übernehmen können!

<< zurück

 
nach oben