|
|
| UPDATE Juli 2013 |
| >> neue Besitzer erzählen |
|
| April 2013 |
| Asco ist glücklich vermittelt. |
|
| April 2013 |
| beendeter Spendenaufruf
für Asco |
| Die Kosten für die Behandlung liegen bisher bei 3.668,25 EUR |
| Asco hat bisher 2.045,00 EUR erhalten |
| Danke an Herr Brandenburger, Frau Wanninger, Herr Klige, Frau Komar-Kalmar, Frau Rawer, Herr Schreijaeg, Aussi in Not, Frau Helmdach, Frau Dr. Lautenbacher, Herr Kraus (2x), Frau Cattani Schoch, Frau Schneider, Herr Schreijäg (4x), Frau Weigand, Fam. Harrock, Frau Dörfler, Frau Imhof Kreis |
| Spendenkonto |
|
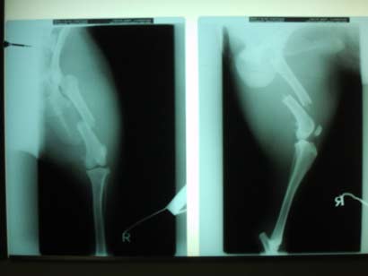
Freude pur für alle Beteiligten: Asco war beim Kontrollröntgen: der Bruch ist endlich bestens verheilt!! :-) :-)
Als ob das Schicksal von Jack (Asco) nicht schon tragisch genug wäre, wurde erneut ein Hund der gleichen Familie ins Tierheim gebracht! (Havanne)
Vordergründig ist dieser Hund zwar nicht verletzt, der Abgabegrund der Mutter könnte aber aus einem schlechten Horrorfilm stammen. Der 15jährige Sohn quält die Hunde derart, dass sie es nicht mehr ertragen kann und den Hund lieber im Tierheim abgibt!!!!! Wir wollen an dieser Stelle letztendlich lieber nicht wissen, was Asco (Jack) tatsächlich passiert ist! Ziemlich geschockt freuen wir uns darüber, dass es beide Hunde zu uns geschafft haben..
|
|
| März 2013 |
Asco heißt jetzt Jack..
Nachdem sich die Heilung von Jack leider nur sehr schleppend bis gar nicht einstellte, mußten wir den süßen Rüden noch mal einem Spezialisten vorstellen!
Da Asco sich immer mehr daran gewöhnte auf 3 Beinen zu laufen, hatten wir schon das Schlimmste erwartet und wurden durch ein Röntgenbild leider bestättigt.
Der gebrochene Knochen wuchs einfach nicht zusammen. Es war zu keiner Heilung im Frakturbereich gekommen. Die Frakturenden hatten sich abgedeckelt und waren vollständig instabil. Es war klar, dass Jack mit diesem Bein nie würde laufen können!
Die bittere Diagnose war also eine neuerliche OP, die über eine stärkere Platte, einen stützenden Nagel und zusätzliches, knochenbildendes Gewebe die ersehnte Heilung bringen sollte! Es tut uns in der Seele weh, diesem hochintelligenten und lebensfrohen Hund dies ein weiteres Mal antun zu müssen, aber es half nichts.
Vermutlich waren wir wohl deprimierter als Jack selbst. Natürlich merkte man ihm die neuen Schmerzen an, aber gleichzeitig schien er auch zu wissen, dass es nun endlich aufwärts geht!
Mittlerweile ist das Schlimmste überstanden, die Klammern sind raus und endlich kann er sich in ein normales, schmerzfreies Hundeleben zurück kämpfen, was er mit großer Freude macht.
Die große Leistung unserer Pflegestelle ist nicht in Wort zu fassen. Jeder, der schon einmal versucht hat einen Aussie auszulasten, ohne dass er sich bewegen darf, weiß wovon wir sprechen. Immer wieder neue Kopfspielchen ausdenken und das Erlernen von Kunststückchen (auf "Peng" umfallen zum Beispiel) macht den Heilungsprozess für den jungen Rüden erträglich und er ist mit großer Hingabe dabei. Auch mit den anderen 3 Hunden klappt es toll, wenn auch die langen Spaziergänge noch etwas warten müssen.
Hut ab vor der Pflegefamilie, hier arbeiten wirklich alle, auch die Kinder mit Hochdruck daran Jack wieder in Bestform zu bringen!
Leider explodieren uns gerade die Kosten für unseren Süßen und wir brauchen jede noch so kleine Spende um ihn aus den roten Zahlen zu manövrieren..
|
|
| Januar 2013 |
Unglaublich verantwortungslos!
Ist es ihnen auch schon mal passiert, dass ihr Hund angefahren wurde und sie nicht bemerkt haben, dass er sich ein Bein gebrochen hat?
Ein verantwortungsloser Hundebesitzer hat erst einen Tag nach einem Unfall den Weg zum Tierarzt gefunden und dort erfahren, dass sein Tier auf Grund eines gebrochen Beines sehr starke Schmerzen hat.
Hätte der 1 jährige Australian Sheperd Rüde nicht ein massiv geschwollenes Bein gehabt und wäre vor lauter Schmerz nur noch gehumpelt, wäre vermutlich noch mehr Zeit in´s Land gegangen.
Kurzentschlossen, der Tierarzt wollte doch tatsächlich Geld für die OP, wurde der arme Asco doch lieber in das Tierheim gebracht. Wohlgemerkt ohne Behandlung!
Wir wurden informiert, haben den Hund sofort zu einem Tierarzt bringen lassen und 20 Minuten später lag Asco bereits in Narkose. Es folgte eine aufwendige Frakturversorgung und mit einem dicken Verband konnte Asco glücklicherweise, sofort auf eine Pflegestelle ziehen. Auch hier zeigt sich wieder, wie wertvoll die Arbeit dieser im Tierschutz ist! Ganz herzlichen Dank an unsere Pflegestellen!
Bei solchen Menschen fehlen uns einfach die Worte, dennoch sind wir froh, dass wir die Chance erhalten haben, Asco zu helfen!
Liebe Spender, wir hatten in den vergangenen Wochen sehr viele Notfelle und wären ohne Ihre Unterstützung niemals in der Lage so spontan zu reagieren!
Das macht uns glücklich, denn so können wir unseren Tieren wirklich schnell und effektiv helfen, vielen Dank!
|



|
|
|
|
|
| ThE |
| Beachten Sie bitte, dass diese Seiten nicht
dazu gedacht sind, Tiere über das Internet
zu bestellen! Die Vermittlung der Tiere erfolgt
ausschließlich über die genannte Kontaktadresse
oder direkt über die Tierheime. Außerdem
beachten Sie bitte, dass wir bei der Beschreibung
der Tiere auf die Einschätzung der Vorbesitzer
oder Betreuer angewiesen sind und wir keine Gewähr
übernehmen können! |
|
|