Grenzenlose Hilfe für Tiere - sans rontières e.V.
sans frontières e.v. - Wir sind ein eingetragener Deutscher Verein mit ausschließlich ehrenamtlichen Helfern und unterstützen mit unserer Arbeit in erster Linie zwei finanziell notleidende Tierheime im französischen Elsass. Bis auf solche, die es geschafft haben, eine Pflegestelle zu bekommen, befinden sich alle Tiere noch in Frankreichsans frontières e.v. - Wir sind ein eingetragener Deutscher Verein mit ausschließlich ehrenamtlichen Helfern und unterstützen mit unserer Arbeit in erster Linie zwei finanziell notleidende Tierheime im französischen Elsass. Bis auf solche, die es geschafft haben, eine Pflegestelle zu bekommen, befinden sich alle Tiere noch in Frankreichsans frontières e.v. - Wir sind ein eingetragener Deutscher Verein mit ausschließlich ehrenamtlichen Helfern und unterstützen mit unserer Arbeit in erster Linie zwei finanziell notleidende Tierheime im französischen Elsass. Bis auf solche, die es geschafft haben, eine Pflegestelle zu bekommen, befinden sich alle Tiere noch in Frankreich
 


Sie befinden sich hier:

Home >>Erfolge - gut vermittelt

Justin 2
UPDATE September/ Dezember 2017 / Mai 2018
>> neue Besitzer erzählen

September 2017
Justin darf auf seiner tollen Pflegestelle bleiben, er hat sich ganz und gar in die Herzen seiner Menschen geschmuggelt :)

Juli 2017
Name: Justin
geboren:
1/2015
Rasse: 
Jack Russell Terrier (wikipedia)
Geschlecht: männlich
beendeter Spendenaufruf für Justin
Die Tierarztkosten liegen z.Zt. bei 2.535,51 EUR
Justin hat 1.420,00 EUR erhalten.
Danke an Herr Kläbisch, Frau Weigand, Frau Trick, Frau Hurst, Frau Kültzer, Fam. Andre, Frau Hassenforder (2x), SPA Colmar, TB OHG (2x), Herr Dietmeier, Frau Wittmann
Wir feiern Justins Entlassung ins gesunde Hundeleben :)

Wir sind super glücklich, dass die anstrengenden Wochen vorüber sind und so allmählich eine Art Alltag einkehren kann.
Justin muss noch eine Weile Muskelaufbau betreiben.
Er ist zwar vorne mega muskulös geworden, doch ist er hinten durch die Schonung und wenig Bewegung dafür recht schwach, weil sich dadurch keine Muskeln halten konnten.
Wenn auch diese kleine Hürde überstanden ist, dann kann er endlich durchstarten und sein Leben geniessen :)))

Juni 2017
Justin darf nun täglich physiotherapeutische Übungen machen um dadurch die fehlende Beinmuskulatur wieder aufzubauen.
Langsames Gassi gehen sowie Verlängerung der Gehstrecke stehen auch im Fokus.
Er macht das ganz prima, auch wenn es manchmal mühsam ist - für ihn und uns.
Justin würde gerne mehr machen, darf aber noch nicht :(((

Wir sind weiterhin aufgrund unserer vielen Notfälle auf Ihre finanzielle Unterstützung für Justins Behandlungskosten angewiesen.

Juni 2017
Justin wurden die Fäden gezogen und jetzt darf der kleine Kerl endlich ohne diesen lästigen Kragen mehr machen.
Vor allem sich etwas mehr bewegen :)

Mai 2017
Justin hat die ersten zwei Wochen nach der Op überstanden....

Justin hat nun strengen Leinenzwang für die nächsten 6 Wochen.
In dieser Zeit heilt dann der Knochen den man durchtrennen musste um Justin wieder zu einem Leben ohne Behinderung zu verhelfen.
Seine Pflegestelle versucht Justin bei Laune zu halten, was manches Mal gar nicht so einfach ist.
Durch Halskragen, Bewegungsmangel und wegen seiner verordneten Unbeweglichkeit ist er verständlicherweise etwas grantig und schlecht gelaunt :((

Seine Pflegestelle gibt da aber nicht nach und so muß der ansonsten sehr verschmuste Justin für dieses Mal nachgeben ;)


Mai 2017
Justin wurde heute operiert und es geht ihm den Umständen entsprechend gut.

Mai 2017
Justin hat großes Glück und durfte auf eine Pflegestelle umziehen.

Jetzt hat er ein paar Tage Zeit sich einzuleben und wird dann am 11.05 operiert werden.

Auf Grund unserer vielen Notfälle sind wir auf jeden Cent angewiesen!
Bitte unterstützen Sie unsere Notfälle.

April 2017
Puh...
Justins Untersuchungsergebnisse sind nicht ganz so niederschmetternd wie wir zuerst dachten!
Der arme Justin hat zwar eine lockere Kniescheibe sowie einen Kreuzbandriss diagnostiziert bekommen aber das heißt auch - und das ist sehr wichtig - er wird wieder gesund werden und normal weiterleben ohne Einschränkungen!

Sein OP Termin am 11.05 steht fest und danach benötigt der liebe Rüde dringend eine Pflegestelle, auf der er sich erholen darf.
Justin braucht danach zuerst Ruhe und wenig Bewegung die dann allmählich gesteigert werden darf!
Hierfür gibt es einen detaillierten Therapieplan.
Bitte, es ist dringend! Der kleine Mann braucht superdringend eine Pflegestelle!!
Übrigens, wir glauben, dass Justin mit hundeerfahrenen Katzen leben kann!

++klick für gross++

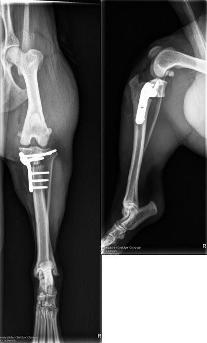
April 2017
Ein weiterer Notfall ist Justin, ein bildhübscher freundlicher Jack Russel Terrier Rüde.
Justin ist ein Fundhund dessen Alter auf den 01.01.2015 geschätzt wurde.

Justin muß sich wegen Platzproblemen im Tierheim den Zwinger mit dem jungen Jacky Rüden Merlin teilen.
Leider tun sich die Beiden nicht gut und vielleicht kommt daher die Verletzung an Jusitins Hinterlauf.
Die Gassigänger haben uns erzählt, dass Justin diese Woche angefangen hat stark zu humpeln und es ihm augenscheinlich sehr weh tut.
Wir lassen - zum besseren Abklären - auch Justin in einer Tierklinik genauer untersuchen.

Der feine Justin tut uns sehr leid, doch leider gibt es derzeit keine Möglichkeit die beiden Rüden zu trennen.
Jusitin ist dadurch sehr gestresst und kommt mit seiner momentanen Situation nicht klar.

Aufgrund der vielen Notfälle sind wir dringend auf Ihre finanzielle Unterstützung angewiesen und dringender denn je auf Pflegestellen die uns helfen können, die Notfälle nicht zurück ins Tierheim schicken zu müssen!

++klick für gross++

 

ThC

Beachten Sie bitte, dass diese Seiten nicht dazu gedacht sind, Tiere über das Internet zu bestellen! Die Vermittlung der Tiere erfolgt ausschließlich über die genannte Kontaktadresse oder direkt über die Tierheime. Außerdem beachten Sie bitte, dass wir bei der Beschreibung der Tiere auf die Einschätzung der Vorbesitzer oder Betreuer angewiesen sind und wir keine Gewähr übernehmen können!

<< zurück

 
nach oben