Grenzenlose Hilfe für Tiere - sans rontières e.V.
sans frontières e.v. - Wir sind ein eingetragener Deutscher Verein mit ausschließlich ehrenamtlichen Helfern und unterstützen mit unserer Arbeit in erster Linie zwei finanziell notleidende Tierheime im französischen Elsass. Bis auf solche, die es geschafft haben, eine Pflegestelle zu bekommen, befinden sich alle Tiere noch in Frankreichsans frontières e.v. - Wir sind ein eingetragener Deutscher Verein mit ausschließlich ehrenamtlichen Helfern und unterstützen mit unserer Arbeit in erster Linie zwei finanziell notleidende Tierheime im französischen Elsass. Bis auf solche, die es geschafft haben, eine Pflegestelle zu bekommen, befinden sich alle Tiere noch in Frankreichsans frontières e.v. - Wir sind ein eingetragener Deutscher Verein mit ausschließlich ehrenamtlichen Helfern und unterstützen mit unserer Arbeit in erster Linie zwei finanziell notleidende Tierheime im französischen Elsass. Bis auf solche, die es geschafft haben, eine Pflegestelle zu bekommen, befinden sich alle Tiere noch in Frankreich
 


Sie befinden sich hier:

Home>> Erfolge - gut vermittelt

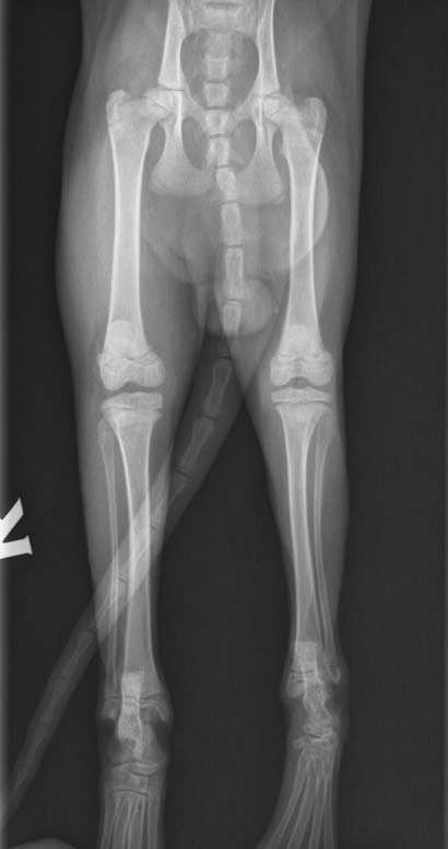
Luke 2














Luke im Januar 2015 nach der OP:

++klick für gross bei youtube++















UPDATE November 2015
Luke hat ein tolles Zuhause und lebt jetzt am Kaiserstuhl.
Vielen Dank an alle Spender und Paten für die gr0ßartige Unterstützung!

September 2015
Name: Luke
Farbe: braun/schwarz marmoriert
Geboren: ca. 7/2014
Geschlecht: männlich, kastriert
Besonder-
heiten:
Herzensbrecher
Verträglich-
keit:
Katzen: Ja
Hunde: Ja
Wohnungs-
haltung:
Freigang
befindet sich: Pflegestelle bei Freiburg
beendeter Spendenaufruf für Luke
Die Tierarztkosten liegen bisher bei 1.667,83 EUR
Luke hat 1.365,00 EUR erhalten
Danke an Frau Wiggenhauser (2x), Frau Herrmann (2x), Frau Blickle, Herr Frühe, Herr Koch, Frau Dr. Lautenbacher (3x), Frau Vogler (2x), Frau Gerteisen, Herr Schreijäg, Frau Lessig, Herr Deiß/ Velo Kirchzarten, Frau Mühlhaus, Frau Nedoh, Frau Meier, Herr Roos, Frau Vogt, Herr Gross
Es ist sehr dringend für Luke:

Aufgrund eines Krankheitsfalls in der Pflegestelle brauchen Luke und Garfield sehr dringend ein Zuhause.

Die Beiden werden auch getrennt vermittelt.

August 2015
Fitness-Trainer Luke

Luke hat einen neuen Freund gefunden: den super lieben Kater Garfield.

Er animiert Garfield zum Spielen und Rennen und dieser findet Luke's Gesellschaft und das gemeinsame Rumtollen einfach nur wunderbar.

Wer also ein perfektes Katzen-Päärchen sucht, das sich sehr gut versteht, liegt bei den Beiden goldrichtig.

Aber auch eine Vermittlung zu einer vorhandenen Katze/Kater wäre möglich.

Dem Pflegefrauchen ist es sehr wichtig, dass das neue Zuhause Freigang in einer verkehrsberuhigten, ländlichen Wohngegend ermöglicht.

++klick für gross bei youtube++
Juni 2015
Der hübsche Luke hatte Besuch von seiner Patin Frau Vogler bekommen.
Wie man sieht hat er den sehr genossen und sich den Streicheleinheiten ausgiebig hingegeben.....

März 2015
Herzenbrecher Luke hat sich verliebt:-)

Luke liebt Hunde oder vielleicht mag er auch Hündin "Lola" ganz besonders, bei den Beiden hat es zumindest von dem ersten Augenblick an "gefunkt".

Luke war hin und weg und wich ihr nicht mehr von der Seite.
Sind sie nicht ein tolles Paar:-) ?



Januar 2015
Luke wurde der Fixateur entfernt

Luke wurde in die Tierklinik gebracht und sein Fixateur konnte nun entfernt werden.

Nun darf der kleine Kerl wieder spielen und uneingeschränkt mit seinen Spielkameraden springen und toben. Das genießt er sehr und belastet nun auch das "kranke" Bein wieder - was er auch soll.

Zur vollständigen Genesung benötigt Luke nun Phyiotherapieübungen, um die Beweglichkeit und Beugung seines Beines komplett wieder herzustellen.

Es wäre schön, wenn Luke in ein paar Wochen in sein endgültiges Zuhause ziehen könnte, damit die Pflegestelle wieder frei ist für neue Notfälle.

Bei Interesse können Sie den kleinen Charmeur jetzt schon kennenlernen und reservieren.

Es sind einige Kosten für die OP und umfangreiche Behandlung entstanden und wir würden uns freuen, wenn Sie Luke weiterhin unterstützen würden.

Ein großes DANKESCHÖN im Namen von Luke !


Dezember 2014
Weihnachten für Luke

Die Überraschung und Freude war riesengroß, denn Luke hat von seiner Patin, Regina Vogler ein ganz tolles Weihnachtspaket bekommen: einen wunderschönen Kuschelsack mit Bärchenaufdruck - genau das Richtige also für die kleinen und größeren Jungs:-)).

Dann fand Luke in dem Paket noch feine Leckerlis, hochwertiges Futter für seine Genesung und Spielsachen.
Er liebt jetzt schon seinen ersten "eigenen" Kuschelsack, zum Schlafen, aber auch zum Raufen und Spielen.

Ein herzliches Dankeschön geht an seine Patin, Frau Regina Vogler, die das alles sehr liebevoll für ihn ausgesucht hat.


Dezember 2014
Luke hat die OP überstanden

Luke wurde in der chirurgischen Klinik operiert und es geht dem Kleinen den Umständen entsprechend gut. Sein Bein wurde mit einer Platte und einem Fixateur externe versorgt und er durfte noch am gleichen Tag die Klinik verlassen.

Die Pflegestelle hatte im "Krankenzimmer" bereits alle Vorkehrungen getroffen, da Luke die nächsten Wochen bis zu seiner Genesung nicht hochklettern oder irgendwo runterspringen, sondern sich nur "kontrolliert" bewegen darf. Eine echte Herausforderung bei einem jungen, aufgeweckten Kater, der keine Minute stillsitzen möchte.
Aber Sonnenschein Luke ist unser "Vorzeigepatient", schmust was das Zeug hält, spielt mit seinem Teddybären und freut sich über jeden Besuch und die kleinste Aufmerksamkeit. Seinen Trichter durfte er bereits abnehmen, da er sich vorbildlich benimmt und die Wunde und Fäden in Ruhe lässt. Er muß nun lernen, sein Bein gezielt und richtig zu bewegen. Dabei wird ihm eine Physiotherapeutin helfen, die ihn schon besucht und kennengelernt hat.

Wir wünschen Luke eine gute und komplikationslose Heilung und danken Ihnen Allen ganz herzlich für die große Anteilnahme und Unterstützung.

Luke und seine Physiotherapeutin
Dezember 2014
Der arme Luke wurde mit einer alten Verletzung, die nicht behandelt wurde, einfach seinem Schicksal überlassen.

Wir waren schockiert und es tat richtig weh zu sehen, wie sich der kleine Kerl mit dem kranken Bein bewegte.

Er war nicht in der Lage das Bein zu belasten, sondern hat es mehr oder weniger hinter sich hergezogen.
Selbst der ganze Körper schien sich in den Bewegungen zu verwinden (->Video).

Er wurde dem Tierarzt vorgestellt und dieser riet sofort zu einer Amputation des Beines!

Zweiter Schock: diesen jungen, neugierigen, lustigen Welt-Eroberer sollen wir sein Bein abnehmen lassen??
Nicht um alles in der Welt wollen wir ihm dies antun.

Wir brachten ihn in eine Chirurgische Klinik, wo er eingehend untersucht und geröntgt wurde.

Bei Luke wurde eine mehrfache Achsen-Fehlstellung im linken Hinterlauf diagnostiziert, vermutlich hatte er als Katzenbaby einen Unfall.

Dies kann nicht mehr nachvollzogen werden, aber Luke kann operiert und das Bein erhalten werden.

Wir würden dem Herzensbrecher gerne diese Chance geben, können dies aber nicht alleine schaffen und bitten im Namen von Luke um Unterstützung und um Patenschaften.
Eine Pflegestelle hat er bereits gefunden, die sich ganz liebevoll um ihn kümmert und während und nach der OP betreut. Dafür einen ganz herzlichen Dank!






Luke vor der OP
++klick fur gross bei youtube++ 




Beachten Sie bitte, dass diese Seiten nicht dazu gedacht sind, Tiere über das Internet zu bestellen! Die Vermittlung der Tiere erfolgt ausschließlich über die genannte Kontaktadresse oder direkt über die Tierheime. Außerdem beachten Sie bitte, dass wir bei der Beschreibung der Tiere auf die Einschätzung der Vorbesitzer oder Betreuer angewiesen sind und wir keine Gewähr übernehmen können!

<< zurück

 
nach oben